Teleskoptechnik (Galvanotechnik)

Die Teleskoptechnik kommt zum Einsatz, wenn größere Lücken nicht durch festsitzenden
Zahnersatz ersetzt werden können. Diese auch Doppelkronentechnik genannte Variante,
ist von außen nicht als Zahnersatz zu erkennen. Sie lässt sich leicht reinigen und hat ei-
nen hohen, sicheren Tragekomfort.

Teleskopprothese von untenTeleskopprothese von unten
Primärteleskope auf ModellPrimärteleskope auf Modell
 
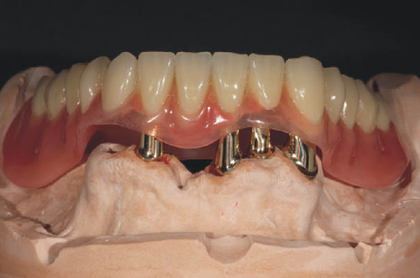
Teleskopprothese beim eingliedernTeleskopprothese beim eingliedern
Teleskopprothese auf Modell eingegliedertTeleskopprothese auf Modell eingegliedert